Invisalign®
Enjoy the confidence of a perfectly straight & even smile with Invisalign

Many of us would love to enjoy the confidence of a perfectly straight and even smile – but the prospect of traditional metal braces to correct issues such as crooked teeth, gaps or misalignment can be off-putting, especially in adulthood and that is where clear aligners can help.
Invisalign® Treatment at our Sydney Dental Clinic
At CBD Dental, we offer the revolutionary teeth-straightening treatment to help you achieve a beautifully straight smile. As Invisalign uses clear, removable aligners that are practically invisible, this advanced treatment allows you to straighten your teeth without the visibility or inconvenience of metal braces.
If you’d like to address a crooked or misaligned smile using the virtually invisible aligners, chat to our friendly practice staff today about how we can help to transform your teeth and smile.

We have been recognised as Invisalign platinum providers!
Invisalign Platinum provider status reflects our highly experienced providers, giving you confidence that we’ve helped many other patients reach their goal of straightening their teeth using Invisalign.
Don’t take our word for it
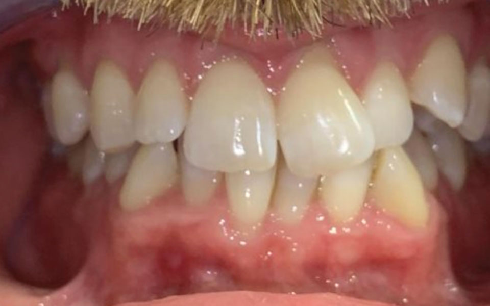
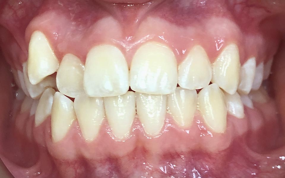
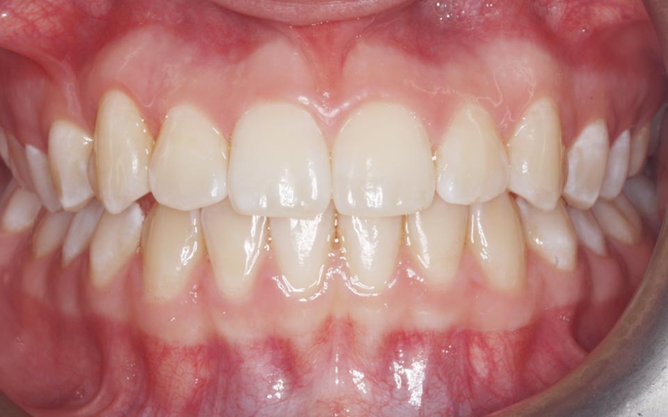
Invisalign has helped over 12 million smiles worldwide. Here are some before and after examples of choosing clear aligners to straighten your smile:




The benefits of Invisalign®
Invisalign is one of the most popular teeth straightening solutions for people of all ages – and with a wide range of benefits, it’s not hard to see why.
See what the Invisalign® treatment can help to fix
It can help to repair different forms of mis-alignment such as:

Overbite

Underbite

Crossbite

Gap Teeth

Open Bite

Crowded Teeth
How does Invisalign® work?
Your treatment at CBD Dental will begin with a consultation, during which one of our experienced dentists will assess your teeth and mouth, and confirm your suitability. Using specialised technology, we’ll even be able to show you a visualisation of how Invisalign will transform your smile!
Following your consultation, your dentist will develop a personalised treatment plan and create your custom aligners, which you’ll need to wear for at least 22 hours per day.
Every few weeks, you’ll switch to the next aligner in the series, which will gradually move your teeth into the optimal position so you can achieve a beautifully straight and even smile. You won’t need to visit us each time you change aligners, but you will need to have regular check-ins to assess your progress.
Once your teeth are in their final position, you’ll need to wear a retainer to ensure your teeth remain in place and don’t move back to their original positions.


