
Teeth Whitening Sydney: it’s time to see your smile differently
Subtle, natural results delivered by a team that knows your smile.
Teeth Whitening Sydney: it’s time to see your smile differently
Subtle, natural results delivered by a team that knows your smile.
Whitening cases completed:Over 2300
Payment plans available:Via AfterPay
80+ 5-Star Google Reviews
When your smile feels a shade behind, we’re here to brighten things up.
You’ve tried the strips. You’ve thought about the gels. You’ve looked in the mirror and wished your teeth looked whiter and brighter. But in today’s fast-paced world, fitting in a proper whitening treatment can feel like a luxury. You don’t want lengthy treatments, underwhelming results, or repeated attempts. You want a single, smart solution from a team you can trust.
At CBD Dental, we combine specialist-grade whitening products with decades of experience for a process that’s efficient, safe, and tailored to you.
If you’re tired of cheap fixes that don’t last, book your teeth whitening Sydney appointment with us for a smile you’re finally excited to show off.

Teeth Whitening – the CBD Dental way
At CBD Dental, we know a brighter smile is personal – and so is the path to achieving it.
Whether you're preparing for a big event or just day-to-day, we offer professional teeth whitening Sydney services to suit your goals, your timeline, and your budget.
Here's how we do it:
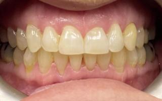
Real patients. Real brightness.
Teeth whitening is a simple, timeless way to enhance the natural beauty of your smile – without compromising your comfort or individuality. See how our patients transformed their smiles with our teeth whitening services – could yours be next?


Dr Nadine Samir


Dr Nadine Samir
Warning: Individual results may vary. These images feature real CBD Dental patients and are intended for illustrative purposes only. Treatment duration and outcomes depend on each patient’s unique dental needs.
The teeth whitening Sydney CBD dental team people come back to
At CBD Dental, many of our patients return to us year after year – for check-ups, restorations, and brightly refreshed smiles. We’re a long-standing team that sees you as more than a set of teeth – you’re part of our dental family.
Whether it’s teeth whitening treatment or a full smile makeover, we collaborate with you because you’re the most important part of the process. Nothing is rushed, nothing is routine, and we slow down where it matters – so you’re always walking away with a smile.

What is teeth whitening?

Teeth whitening is a safe, professional treatment that uses high-quality bleaching gels to make your teeth shades whiter, lifting stains and discolouration from your enamel. It’s fast, effective, and done with care by a team that knows your teeth.
CBD Dental is one of the teeth whitening clinics that always assesses your individual needs before recommending the appropriate whitening pathway.
What causes tooth discolouration?

Teeth naturally lose their brightness over time, but not always for the reasons you’d expect. Discolouration can be caused by:
- Everyday habits like tea, coffee, red wine, smoking, and tobacco
- Ageing and enamel wear
- Certain medications and medical conditions
- Genetic factors
Whatever the cause, we can assess it together – and create a whitening plan that works best for you.
Why professional teeth whitening wins, every time
Tooth & Gum safety
DIY Kits: No supervision from a dental professional means increased risk of enamel damage, sensitivity, gum irritation, and uneven whitening.
CBD Dental: Monitored by your dentist to ensure a safe, properly fitted, and balanced treatment.
Result speed
DIY Kits: Minor change (1–2 shades) over several days or weeks.
CBD Dental: Multiple shades lighter, often in a single visit.
Custom fit
DIY Kits: One-size trays that don’t fit your teeth precisely.
CBD Dental: Custom trays and treatment tailored to your teeth, lifestyle, and goals.
Professional support
DIY Kits: Customer service at best, not dental care.
CBD Dental: Ongoing access to our team for support, guidance, and personalised advice.
Longevity
DIY Kits: Results often fade quickly.
CBD Dental: We plan for lasting results and provide upkeep guidance to help them stay that way.
Payment Plans
Making your dream smile more doable
A brighter smile shouldn’t feel out of reach – which is why we offer a simple, flexible way to pay for the cost of teeth whitening Sydney.
We make time for all your questions
It depends on your habits, not just the treatment. With good brushing, flossing, regular cleans, and limiting stain‑causing beverages like coffee, tea or red wine, your whitening can stay strong for many months.
At our teeth whitening Sydney, NSW clinic, we’ll show you how to keep it bright between visits.
The tooth whitening process is a non-invasive treatment, but it can cause tooth and gum sensitivity, especially when eating or drinking hot or cold foods. We’ll check the health of your teeth first before recommending the whitening treatment that’s best for you.
Teeth whitening will only work on natural tooth enamel – it won’t change the colour of existing veneers, crowns or fillings. If you’ve got restorations, we can chat about options so everything looks balanced.
Typically, you’ll see a noticeable difference in shade – often 6-8 shades brighter for many patients who choose dentist-prescribed treatments. How far we go depends on your natural tooth colour, the type of stains, and what you’re comfortable with. Everybody reacts differently to teeth whitening due to their unique enamel, so we’ll talk through your expectations first and plan accordingly.
Three simple steps to a stronger smile
Your smile is worth taking the time for
Teeth whitening with us is more than a treatment – it’s time set aside just for you to get the results you’ve always wanted.








