Dental Implants
Dental implants are a fantastic way to regain your full smile

At CBD Dental, we understand that missing teeth can have a significant impact on your life.
From making it difficult to perform everyday activities such as chewing food to affecting your self-confidence due to the appearance of your smile, tooth loss can be a distressing experience.
The good news, however, is that our talented team of dental professionals can easily and effectively replace your missing tooth or teeth, in order to restore your smile and your confidence.
Our dental implant treatment is a fantastic way to achieve a long term, natural result and regain your full smile.
Local Sydney dental implants
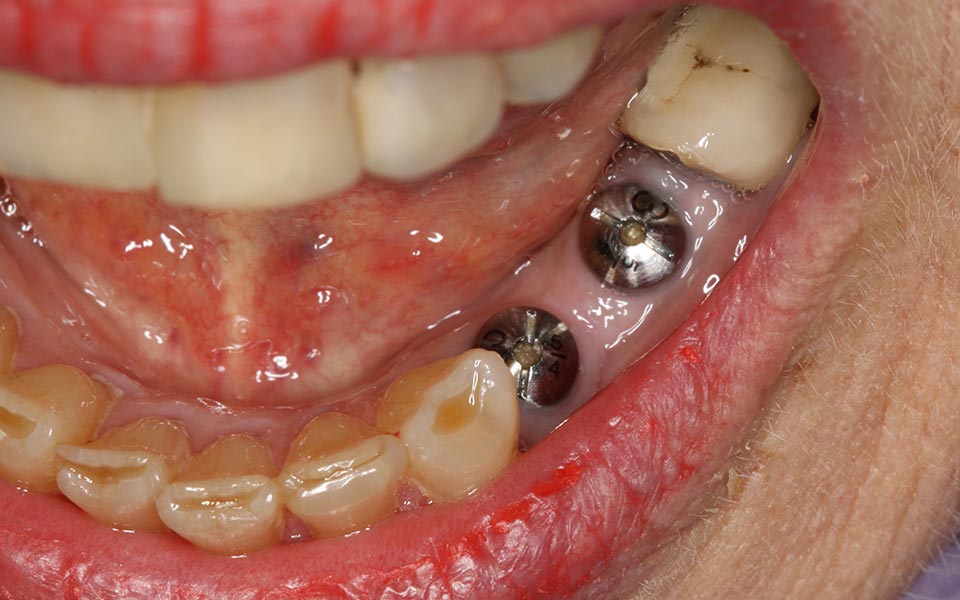
Dental implants are used to replace a missing tooth or teeth. Consisting of an implant rod and a customised dental crown, dental implants closely mimic natural teeth.
Our state-of-the-art dental implants are fitted in the comfort of our modern dental clinic in the heart of Sydney CBD and are made of durable titanium metal, which is renowned for its strength and longevity.
Don’t take our word for it
Our qualified team of dental professionals will be happy to help you regain a full smile you’ll love to show off.




The benefits of dental implants
Choosing to replace a missing tooth with a dental implant can offer a range of benefits. Unlike removable tooth replacements like dentures, dental implants are fused into the jawbone, providing a permanent tooth replacement solution.
The advantages of undergoing dental implant treatment at our luxurious Sydney CBD dental clinic include:
Our experienced dental practitioners carefully design each implant restoration to match your surrounding teeth, for a customised solution that looks perfectly natural.
What’s involved in dental implant treatment?
A CBD Dental practitioner will begin by examining your teeth and mouth to ensure you’re a suitable candidate for dental implant surgery.
- Following the diagnosis, the next stage will involve having the implant installed in a minor operation.
- Your dental implant procedure will be performed in the comfort of our modern Sydney dental clinic, or with our associated specialist, and undertaken under anaesthetic, so you won’t feel any pain.
- The final stage is performed a few months later, once the bone around your dental implant has integrated, fixing the implant into place and ensuring it’s stable in your jawbone.
Your dentist can then create a foundation for the new tooth to be inserted. An artificial tooth will then be custom-made in our on-site lab to match the shape, size and colour of the surrounding teeth for a perfectly natural finish.
The replacement tooth will then be inserted, restoring your smile and providing you with the look, feel and functionality of your real teeth.


