
Before and Afters, designed with care
Every transformation at CBD Dental begins with a conversation – and the time to get it right.
Before and Afters, designed with care
Every transformation at CBD Dental begins with a conversation – and the time to get it right.
Real results – thoughtfully achieved
We’re proud to show the genuine results we’ve created with precision, planning and patience. These images feature real CBD Dental patients and are intended for illustrative purposes only. Treatment duration and outcomes depend on each patient’s unique dental needs – individual results may vary.
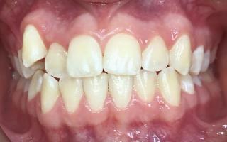
Invisalign
Invisalign is one of the most popular teeth straightening solutions for people of all ages. Here are some of our patients’ smile transformations after their clear aligner treatment.


Dr Nadine Samir


Dr Nadine Samir
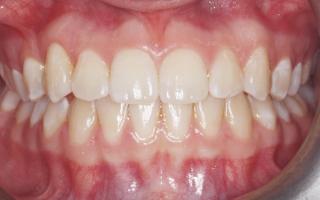
Dental Veneers
Dental veneers are one of the most natural-looking ways to enhance your teeth. Here are just a few transformations from our Sydney clinic, could yours be next?


Dr Nadine Samir


Dr Nadine Samir
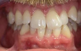
Dental Implants
Dental implants are one of the most successful treatments in modern dentistry, with success rates over 90%. But for us, it’s not just about the numbers, it’s about what those results mean for real people.
Here are just a few of the transformations we’ve helped bring to life at CBD Dental.


Dr Nadine Samir


Dr Nadine Samir
Time well spent at CBD Dental
The right care, at the right pace – with a team that’s with you all the way.

