Teeth Whitening
Show off a brighter, whiter smile with teeth whitening treatments

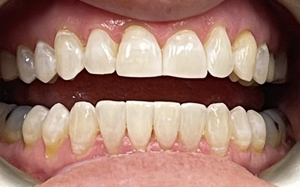
Get a brighter, whiter smile that boosts your confidence and brings you joy to show off. Our fast, safe and effective whitening service can address concerns such as yellowing and staining, leaving you with a fresh, healthy and beautiful smile that sparkles.
The benefits of professional teeth whitening
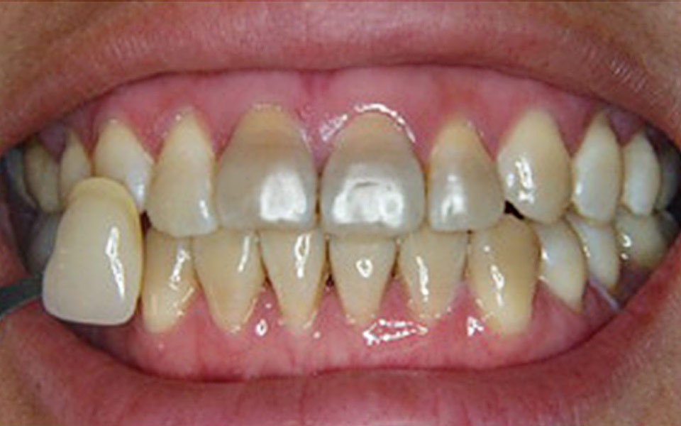
While you may have seen many DIY products online and in-store across Australia, there’s a reason why these tend to come at a much lower cost than professional treatments. Not only can DIY whitening kits often fail to provide the brilliant results offered by professional treatments, they can also be damaging to your teeth, mouth and gums.
Here are just some of the reasons why professional whitening is a preferable option over DIY whitening kits:
- Safety: Having your teeth professionally brightened under the supervision of a qualified dentist is much safer than using a non-professional whitening product on your own.
- Better results: Professional whitening treatments and at-home kits from your dentist will deliver a much more reliable and sought-after result compared to DIY products.
- Professional support: If you have questions or concerns following your treatment, you can contact your dentist for personalised advice and guidance.




How is teeth whitening performed at CBD Dental?
At our modern, comfortable dental clinic in the heart of Sydney CBD, we offer a range of convenient whitening treatments for you to choose from.

In-clinic whitening in Sydney
Our in-clinic whitening options include Zoom! and Natural+, which provide the most dramatic results in a single visit.
The fast results offered by these treatments make them an ideal option if you have an important event coming up or simply want an instant improvement in your smile.
However, it’s worth noting that these treatment options tend to be the costliest.

At-home whitening kits
If you’d prefer to whiten your teeth effectively in the comfort of your own home, we offer special at-home whitening kits, consisting of a custom-made tray designed for your mouth and a professional bleaching gel. You’ll need to wear the tray for 30 minutes each day, with results visible after 1-2 weeks.
Although this method takes a bit longer, it’s less expensive and has the advantage of being performed in your own time at home. You can also keep your whitening trays to undertake touch-up treatments, in order to maintain your whiter smile.
As some stubborn stains are resistant to teeth whitening alone, CBD Dental also offers cosmetic bonding and porcelain veneers to achieve brilliant yet natural results.
What causes tooth discolouration?
Chemical changes in the teeth are the primary reason why teeth lose their natural white lustre. Teeth can become discoloured for a variety of reasons, including:
- Ageing
- Staining
- Consuming coffee, red wine and tea
- Medical conditions
- Taking certain medications
- Smoking cigarettes or other tobacco use
- Genetics
If you’d love to improve your self-confidence with a brighter, whiter smile that’s beautifully natural, chat to our friendly staff about our advanced teeth whitening treatments. Make an appointment today and get the dazzling smile you’ve always wanted.
